Gallery of Lovebite dentures

Gallery of Lovebite dentures

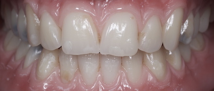
This diverse selection of beautiful Lovebite dentures showcase the highly individual results Richard achieves for his patients. Each set of dentures is tailor made for the patient with unique characteristics that reflect their personality and deliver the aesthetics they desire.